Tầm Quan Trọng Của Khám Sức Khỏe Định Kỳ – Đừng Đợi Đến Khi Có Triệu Chứng
Trong cuộc sống hiện đại, mọi người dễ bận rộn với công việc và cuộc sống cá nhân, đôi khi bỏ qua việc chăm sóc sức khỏe của chính mình....
Phòng Khám Đa Khoa Đồng Tâm đã triển khai khám chữa bệnh đối với tất cả người bệnh có thẻ BHYT theo quy định của Bảo hiểm xã hội Việt Nam
THÔNG BÁO PHÒNG KHÁM ĐA KHOA ĐỒNG TÂM CHÍNH THỨC TIẾP NHẬN KHÁM CHỮA BỆNH BẢO HIỂM Y TẾ (BHYT) Từ ngày 08/07/2023 Phòng Khám Đa Khoa Đồng Tâm đã...
Chụp x quang phổi và những điều cần biết khi chụp x quang phổi
Chụp x quang phổi là chỉ định thông thường của bác sĩ khi muốn kiểm tra tình trạng sức khỏe và sàng lọc các bệnh về phổi. Bài viết dưới đây...
Phương pháp chụp x quang xoang và những điều mà bạn nên biết
Chụp X quang xoang là phương pháp giúp cho bác sĩ có thể quan sát được tình trạng thông tắc của xoang, từ đó giúp chẩn đoán viêm xoang mà không cần...
Những điều cần biết về chụp x quang cột sống thắt lưng
Chụp x quang vẫn đóng vai trò rất quan trọng trong chẩn đoán và điều trị bệnh. Chụp X quang cột sống thắt lưng giúp bác sĩ phát hiện các chấn thương,...
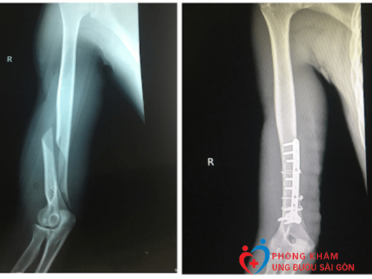
Kỹ Thuật Chụp X Quang Xương Cẳng Tay Thẳng Nghiêng Mà Bạn Nên Biết
Chụp X-quang xương cẳng tay là kỹ thuật được áp dụng phổ biến để chẩn đoán các chấn thương và bệnh lý ở cẳng tay, chẳng hạn như gãy xương, trật khớp,...
Những điều quan trọng mà bạn cần biết về xquang cột sống cổ
Chụp xquang cột sống cổ là kỹ thuật phổ biến để phát hiện các triệu chứng cận lâm sàng của bệnh lý cột sống. Cột sống cổ gồm 7 đốt sống từ...
Chụp nhũ ảnh và những mà điều bạn cần biết trước khi chụp
Chụp nhũ ảnh là một công nghệ tương đối mới đối với hầu hết phụ nữ. Tuy nhiên, khi ung thư vú đứng thứ 3 trong số các bệnh ung thư...
Chụp X Quang Bụng Và Một Vài Kiến Thức Cơ Bản Mà Bạn Cần Biết
Chụp X quang bụng là phương pháp chẩn đoán hình ảnh được sử dụng phổ biến hiện nay, cho ra hình ảnh của một số cơ quan trong ổ bụng như dạ...

